在全球化的今天,越来越多的外籍人士来到中国工作与生活。健康无国界,疾病可能随时降临。近日,我院收治了一位外籍患者——KONG先生,他因严重乏力、呼吸困难紧急入院,被诊断为同时罹患肾功能衰竭与心力衰竭,一场争分夺秒的救治就此展开。
快速响应,精准评估
面对KONG先生的危重病情,医护团队立即启动应急流程。迅速建立静脉通路、严密监测生命体征,为后续治疗打开通道。同步进行的肾功能、电解质、胸部CT等关键检查,快速揭示了病情的全貌:肾脏严重损伤、电解质紊乱威胁心脏,心衰已导致肺水肿。这些及时的评估,为制定抢救方案赢得了宝贵时间。
跨越隔阂,医患同心
作为外籍患者,语言与文化差异是护理的一大挑战。令人欣慰的是,KONG先生能用中文进行简单交流,其家人也熟悉中国文化。护理团队灵活运用普通话、肢体语言和图文手册,耐心了解他的需求与习惯,细致调整护理细节,极大缓解了他在陌生环境中的不安和担忧病情的焦虑。此外,医护团队始终与家属保持密切沟通,构建了信任、安心的治疗氛围,真正实现了医患携手、共克时艰。

多科协作,动态精准
救治过程中,每日多学科查房成为常态。主治医生根据实时检查结果,动态调整利尿剂与透析方案。当检查提示心脏存在结构与电生理异常时,肾病内科代余杰主治医师第一时间邀请心血管内科赵建勤副主任医师会诊,共同为患者量身定制了兼顾心肾功能的抗凝与抗心衰治疗方案。护理团队则24小时密切监控生命体征、水肿消退情况与心理状态,及时向主治医生反馈异常信息。

(肾功能提示尿毒症期)

(心电图提示心房颤动)

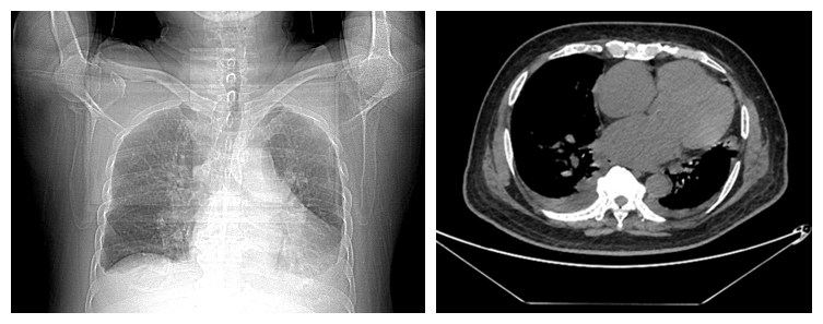
(胸部CT可见全心增大,胸腔积液)
心肾为何相继“告急”?
肾功能衰竭是指肾脏无法正常工作,导致体内代谢废物和多余水分无法有效排出,进而引发一系列健康问题。常见原因包括糖尿病、高血压、肾炎等。心力衰竭的发病机制之一是心脏无法有效泵血,导致全身器官供血不足,引发一系列症状。常见症状包括呼吸急促、下肢水肿、疲乏等。两者相互关联,肾脏问题可能加重心脏负担,而心脏问题也会影响肾脏的血流和功能。

KONG先生所出现的下肢水肿、胸闷气促,正是心肾联合受损的典型表现。这种危急情况促使医院迅速组建临时救治小组,整合资源,确保救治流程无缝衔接。
健康的生活方式和预防措施
对于心肾疾病患者而言,医疗干预是关键一环,但长期的健康管理更离不开生活方式的改善。以下建议有助于维护心肾健康:



