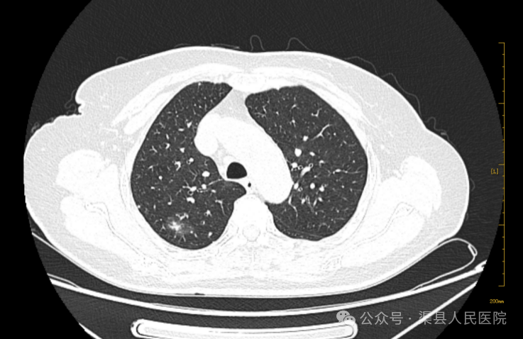
近日,我院胸外科接诊了一位患者,因检查发现肺结节入院。胸部CT发现右肺上叶后段结节。(如下图)
进一步完善胸部增强CT,右肺上叶后段(IM65)实性结节,大小约为14mm×8mm,增强扫描轻度强化。(如下图)
入院后完善相关检查,经胸外科主任熊磊组织全科讨论后诊断肺结节,肿瘤可能性大。经患者同意后,熊磊主任带领团队对患者实施胸腔镜下右肺上叶后段切除术+淋巴结清扫术+胸腔闭式引流术。术后病理表示:(右肺上叶后段)浸润性腺癌(贴壁型占比约80%+腺泡型占比约20%)。
肺段切除术是解剖性的肺段切除,指手术条件下,精准找到肺动脉、静脉与支气管并予以分别处理,然后沿段间平面将目标肺段切除的一种手术方式。较肺叶切除而言,肺段切除更精准,手术的要求和难度会更高,但患者可保留更多肺组织,对患者影响小,患者的肺功能可以很快得到代偿。
此次胸腔镜下肺段切除术再次拓展胸腔镜微创技术在胸外科领域的临床应用,标志着胸外科的胸腔镜微创技术水平再上新台阶。


